

Τμήμα ισχίου και γόνατος Ιατρικό Κέντρο Αθηνών
Consultant in Trauma and Orthopaedics
Hip and knee arthroplasty and revision specialist
Soft tissue knee specialist
Mid and South Essex University Hospitals Trust,
England, United Kingdom



Σκελετικό τραύμα ενηλίκων
Οι τραυματισμοί του σκελετού είναι δυστυχώς αναπόφευκτοι και μπορεί να οδηγήσουν σε διατάραξη της καθημερινότητας αλλά και να έχουν επίπτωση στις εργασιακές υποχρεώσεις.
Ανάλογα με το είδος του κατάγματος και τις ανάγκες του ασθενούς, η θεραπεία μπορεί να είναι συντηρητική ή χειρουργική. Στην πρώτη περίπτωση εφαρμόζεται γύψος ή νάρθηκας και προτείνεται στενή παρακολούθηση του ασθενούς μέχρι το κάταγμα να οδηγηθεί σε πλήρη πόρωση χωρίς επιπλοκές. Στη δεύτερη περίπτωση, προτείνεται χειρουργική σταθεροποίηση του κατάγματος εφόσον
Σε κάθε περίπτωση η θεραπεία είναι εξατομικευμένη και λαμβάνει υπόψη τα χαρακτηριστικά του κατάγματος και τις ανάγκες του ασθενούς.
Ο χειρουργός έχει πραγματοποιήσει περισσότερες από 4000 επεμβάσεις τραύματος. Έχει ιδιαίτερο ενδιαφέρον στην αντιμετώπιση πολύπλοκων καταγμάτων του κάτω άκρου και ειδικότερα πέριξ της άρθρωσης του ισχίου, του γόνατος και του κάτω πέρατος της κνήμης. Με τις δεξιότητες και την εμπειρία που διαθέτει μπορεί να σας εξασφαλίσει άριστο αποτέλεσμα λαμβάνοντας υπόψη τη σοβαρότητα της κάκωσης.
Παρουσίαση περιστατικών από το προσωπικό αρχείο



Πολύπλοκο κάταγμα Schatzker VI του κνημιαίου πλατώ. Εξαιρετική ανατομική αποκατάσταση και σταθεροποίηση με δυο πλάκες/κοχλίες και μοσχεύματα.




Τρισφύριο κάταγμα της αριστερής ποδοκνημικής άρθρωσης. Ανατομική ανάταξη και σταθεροποίηση με πλάκες/κοχλίες και ελεύθερες βίδες.
Παρουσίαση περιστατικών από το προσωπικό αρχείο


Περιπροθετικό κάταγμα μηριαίου Vancouver B3 σε έδαφος ολικής αρθροπλαστικής ισχίου. Αναθεώρηση με τη χρήση πρόθεσης περιφερικής στήριξης.


Κάταγμα κλείδας με συντριβή. Ο ασθενής αρχικά επέλεξε συντηρητική αντιμετώπιση, ωστόσο 4 εβδομάδες μετά λόγω συμπτωμάτων επέλεξε να προχωρήσει σε χειρουργική αντιμετώπιση. Το κάταγμα νεαροποιήθηκε, οστεοσυνθέθηκε στην ανατομική θέση και χρησιμοποιήθηκε αλλομόσχευμα.
Παρουσίαση περιστατικών από το προσωπικό αρχείο




Μη ικανοποιητική ανάταξη κατάγματος ισχίου και τοποθέτηση του ήλου σε πλημμελή θέση που πραγματοποιήθηκε σε άλλο νοσοκομείο (δύο ακτινογραφίες στα αριστερά). Αναθεωρήθηκε άμεσα μετεγχειρητικά, πραγματοποιήθηκε ανατομική ανάταξη του κατάγματος, τοποθέτηση νέου ήλου ενώ το κενό από την προηγούμενη θέση του κοχλία στον αυχένα & την κεφαλή του μηριαίου γέμισε με τη χρήση ορθοπαιδικού τσιμέντου (δυο ακτινογραφίες στα δεξιά).




Κάταγμα κνημιαίου plateau και απόσπαση του εκτατικού μηχανισμού. Ανατομική ανάταξη του κατάγματος, σταθεροποίηση με πλάκα - ελεύθερες βίδες και χρήση μοσχεύματος.
Παρουσίαση περιστατικών από το προσωπικό αρχείο



Κάταγμα δεξιού ισχίου (ακτινογραφία αριστερά). Ο ασθενής είχε σημαντικού βαθμού αστάθεια με συχνές πτώσεις εξαιτίας νευρομυΐκής πάθησης, η οποία συνέβαλε και στο να υποστεί το κάταγμα. Υπεβλήθη άμεσα σε ολική αρθροπλαστική ισχίου. Χρησιμοποιήθηκε ειδική πρόθεση dual mobility εξαιτίας της νευρομυΐκής πάθησης, ώστε να περιοριστεί σημαντικά η πιθανότητα μετεγχειρητικού εξαρθρήματος του ισχίου. Κινητοποιήθηκε το απόγευμα του χειρουργείου και επέστρεψε στην κατοικία του με ασφάλεια την δεύτερη μετεγχειρητική ημέρα.




Ασθενής 76 χρονών, μετά από πτώση υπέστη κάταγμα της αριστερής κερκίδας με σημαντική παρεκτόπιση. Έγινε ανοικτή ανάταξη του κατάγματος και σταθεροποίηση με πλάκα και βίδες. Ξεκίνησε άμεσα φυσικοθεραπεία (hand therapy) και η λειτουργικότητα της επανήλθε σε 6 εεβδομάδες.
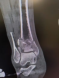
Ασθενής 82 χρονών, με προηγούμενη αναθεώρηση αρθροπλαστικής δεξιού γόνατος, υπέστη περιπροθετικό κάταγμα στο κάτω τριτημόριο της κνήμης, περιφερικότερα του stem και κάταγμα στο αντίστοιχο ύψος της περόνης.



Το κάταγμα της περόνης σταθεροποιήθηκε με τη χρήση ενδομυελικού ήλου.
Το κάταγμα της κνήμης σταθεροποιήθηκε με τη χρήση μακριάς πλάκας (bridging plate) και τη χρήση κλειδούμενων και μη κλειδούμενων βιδών. Επετεύχθη ανατομική ανάταξη του κατάγματος. Εξαιρετικό μετεγχειρητικό αποτέλεσμα.
Παρουσίαση περιστατικών από το προσωπικό αρχείο



Κάταγμα δεξιού ισχίου (ακτινογραφία αριστερά). Ο ασθενής είχε σημαντικού βαθμού αστάθεια με συχνές πτώσεις εξαιτίας νευρομυΐκής πάθησης, η οποία συνέβαλε και στο να υποστεί το κάταγμα. Υπεβλήθη άμεσα σε ολική αρθροπλαστική ισχίου. Χρησιμοποιήθηκε ειδική πρόθεση dual mobility εξαιτίας της νευρομυΐκής πάθησης, ώστε να περιοριστεί σημαντικά η πιθανότητα μετεγχειρητικού εξαρθρήματος του ισχίου. Κινητοποιήθηκε το απόγευμα του χειρουργείου και επέστρεψε στην κατοικία του με ασφάλεια την δεύτερη μετεγχειρητική ημέρα.




Ασθενής 76 χρονών, μετά από πτώση υπέστη κάταγμα της αριστερής κερκίδας με σημαντική παρεκτόπιση. Έγινε ανοικτή ανάταξη του κατάγματος και σταθεροποίηση με πλάκα και βίδες. Ξεκίνησε άμεσα φυσικοθεραπεία (hand therapy) και η λειτουργικότητα της επανήλθε σε 6 εεβδομάδες.
Ασθενής 65 ετών, είχε προηγούμενο κάταγμα στη μεσότητα του αριστερού μηριαίου προ 5 ετίας το οποίο είχε αντιμετωπιστεί με ενδομυελική ήλωση. Το κάταγμα είχε οδηγηθεί σε πόρωση.
Υπέστη νέο τραυματισμό και οι ακτινογραφίες έδειξαν νέο κάταγμα στο κάτω τμήμα του μηριαίου το οποίο επεκτεινόταν μέχρι το πέρας του ήλου.



Αφαιρέθηκε ο προηγούμενος ήλος και τοποθετήθηκε νέος ανάστροφος με είσοδο από την άρθρωση του γόνατος. Το κάταγμα ανατάχθηκε και σταθεροποιήθηκε πλήρως. Ο ασθενής κινητοποιήθηκε άμεσα μετεγχειρητικά με μερική φόρτιση.

Ασθενής 65 χρονών, υπέστη κάταγμα του άπω πέρατος της δεξιάς κλείδας μετά από πτώση από το ποδήλατο της.
Οι ακτινογραφίες ανέδειξαν συντριβή στην περιοχή του κατάγματος, ρήξη των κορακοκλειδικων συνδέσμων και σημαντική παρεκτοπιση της κλείδας.
Αντιμετωπίστηκε χειρουργικά με ανοικτή ανάταξη του κατάγματος και σταθεροποίηση του με πλάκα και βίδες, ενώ χρησιμοποιήθηκε tight rope για την αποκατάσταση του κορακοκλειδικου συνδέσμου και ανατομική ανάταξη της ακρωμιοκλειδικης άρθρωσης. Εξαιρετικό αποτέλεσμα με αποκατάσταση της ανατομίας του ώμου.


Ασθενής 32 ετών, υπέστη κάταγμα της δεξιάς ποδοκνημικής άρθρωσης στο θαλάσσιο σκι. Οι ακτινογραφίες ανέδειξαν συντριπτικό ενδοαρθρικό κάταγμα του κάτω πέρατος της κνήμης και κάταγμα της περόνης. Τοποθετήθηκε άμεσα εξωτερική οστεοσύνθεση προκειμένου να σταθεροποιηθεί το κάταγμα , να πραγματοποιηθεί αξονική τομογραφία και να προγραμματιστεί το χειρουργείο.






Ακολούθησε αφαίρεση της εξωτερικής οστεοσύνθεσης και ανοικτή ανάταξη του κατάγματος με τη διενέργεια δυο τομών του δέρματος. Τα οστικά τεμάχια ανατάχθηκαν, ανακατασκευάστηκε η αρθρική επιφάνεια και τοποθετήθηκε οστικό μόσχευμα προκειμένου να υποστηριχθεί ο υποκείμενος χόνδρος. Τα μικρά θραύσματα αφαιρέθηκαν από την άρθρωση και ακολούθησε σταθεροποίηση του κατάγματος με τη χρήση διαφορετικών πλακών.
Επετεύχθη εξαιρετική αποκατάσταση της αρθρικής επιφάνειας και ανατομική ανάταξη του κατάγματος.
.jpg)
